Coronary Angiography

Coronary Angiography in India

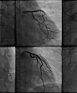
Coronary Angiogram or Angiography is an X-ray test to detect blocked or narrowed arteries. This is thus a standard test to detect coronary heart diseases

💰
Starting from $700
Procedure 1-2 Days
🏨
Stay in India 3-5 Days
Read full treatment guide →

Get a Free Quote

Our coordinators respond within 2 working hours.

🔒 100% confidential. No spam, ever.

🛡️ Free, no obligation ⏱️ 2-hour response 🌍 40+ countries

Your Journey with INDHEAL

1
💬

Free Consultation

Share your medical reports. Our coordinators connect you with the right specialist within 2 working hours.

2
✈️

Travel to India

We arrange your visa letter, airport pickup, and accommodation near the hospital.

3
🏥

Treatment

Your procedure at a JCI or NABH accredited hospital with an internationally trained surgeon.

4
🛌

Recovery

Recuperate comfortably with dedicated nursing care and daily coordinator check-ins.

5
🏡

Follow-up

Return home with full medical records and ongoing remote follow-up from your care team.

Why Choose India for Coronary Angiography?

💰

Save 60–80%

World-class treatment at a fraction of US, UK or Australian costs — without compromising on quality.

👨‍⚕️

Expert Surgeons

Internationally trained specialists with thousands of successful procedures and global accreditations.

✈️

No Wait Times

Get treated within days of arrival. Full concierge support for visa, travel and accommodation.

Ready to get started?

Free consultation. No commitment. Response within 2 working hours.

Coronary Angiography from $700